601-4119849

Lun-Vie: 9:00 - 18:00|Sáb 9:00 - 16:00

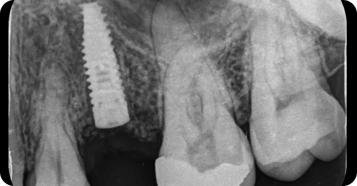
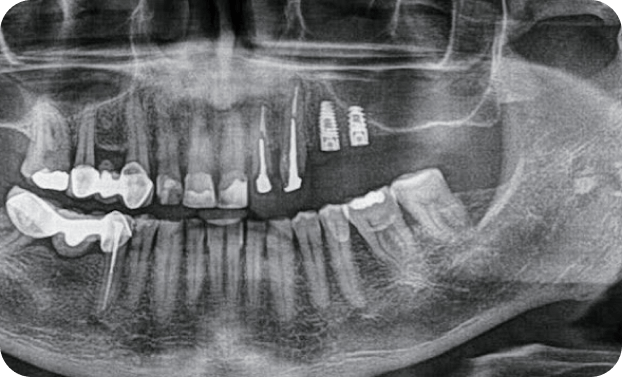
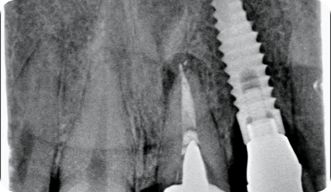
Implantes

Son tornillos en titanio que reemplazan las raices de los dientes.

Examenes previos que se realizan antes de colocar un implante dental:

Una historia clínica detallada ,ayudas diagnosticas tipo radiografías, tomografía, exámenes de laboratorio si se requieren.

¿Quién puede realizarce un implante dental?

Todo paciente mayor de 17 años , con ausencias de algún diente.

¿En que casos no se puede realizar un implante?

Pacientes que estén en tratamientos de quimioterapia.

Ventajas de los implantes dentales

Se pueden manejar de forma individual , ayudando a la higiene dental, evitan la reabsorción ósea, son fijos permitiendo coronas estéticas.

Implantes de uso en la clínica

MISS, ADIN , ALPHABIO.

¿Qué inconvenientes puede traer un implante dental?

Perimplantitis (Infección del hueso alrededor del implante) suscausas pueden ser mala higiene, bruxismo, pacientes diabeticos no controlados, periodontitis adyacentes. Rechado del organismo 5%.

Casos

Instalaciones oral group Instalaciones oral group Instalaciones oral group Instalaciones oral group Instalaciones oral group Instalaciones oral group Instalaciones oral group

Implantes pacientes que esten en tratamiento de quimioterapia menor a 6 meses